APARELHOS DENTÁRIOS
Ortodontia, a especialidade odontológica que corrige a posição dos dentes.
Dentes tortos ou dentes que não se encaixam corretamente são difíceis de serem mantidos limpos, podendo ser perdidos precocemente, devido à deterioração e à doença periodontal. Também causam um estresse adicional aos músculos de mastigação que pode levar a dores de cabeça, Disfunção Têmporo-Mandibular (DTM) e dores na região do pescoço, dos ombros e das costas.
Os dentes tortos ou mal posicionados também prejudicam a sua aparência. O aparelho dentário torna a boca mais saudável, proporciona uma aparência mais agradável e dentes com possibilidade de durar a vida toda.
Tipos mais comuns de aparelhos dentários
Aparelho autoligado
Os aparelhos autoligados são muito mais rápidos e confortáveis. Esse sistema utiliza bráquetes modernos com sistema deslizante de fechamento de arcos de última geração, não sendo mais necessária a utilização de elásticos para prender o arco, diminuindo assim o atrito.

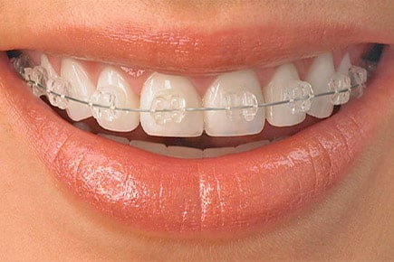
Aparelhos estéticos
Se encaixam com firmeza sobre os dentes, traz seus dentes em um alinhamento adequado, sem a visibilidade e aborrecimentos associados com os aparelhos convencionais.

Marque uma avaliação ou converse com a gente por (74) 99937-6540!
Compartilhe esta página em suas redes